Composiet facings
In slechts één behandeling een perfect resultaat met composiet facings
Composiet facings zorgen voor een natuurlijke en gezonde uitstraling van je gebit. Composiet facings zijn eenvoudig op de tanden te plaatsen om spleetjes, verkleurde tanden, scheve tanden of afgebroken hoekjes te herstellen.
Bij het plaatsen van composiet facings gaat weinig tot geen tandweefsel verloren. Maya’s Mondzorg plaatst de facings in slechts één behandeling.
Voordelen van composiet facings
✔️ Eenvoudig te repareren bij beschadiging
✔️ Bij het plaatsen wordt weinig tot niet geslepen aan de eigen tanden
✔️ Composiet facings zijn relatief goedkoop t.o.v. porseleinen facings
✔️ Composiet facings worden door ons in één behandeling geplaatst
✔️ De behandeling wordt vanuit een aanvullende tandartsverzekering vaak vergoed
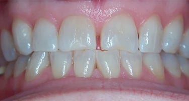
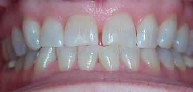
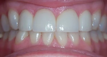
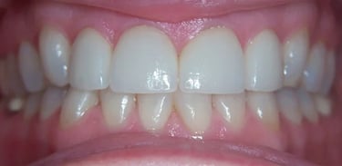
Een oogstrelend resultaat in één behandeling




Voor
Na
Composiet facings tarieven
Facings van composiet zijn een veilige en voordelige oplossing voor een frisse en gezonde uitstraling van het gebit. Maya’s Mondzorg uit Den Haag is gespecialiseerd in het plaatsen van composiet facings. Hierdoor kunnen wij de facings tegen een zeer scherp tarief voor u plaatsen. De kosten voor een composiet facing bedragen ongeveer €150,- per tand(ex.BTW) Neem voor een specifieke prijsindicatie gerust contact met ons op door een mailtje te sturen naar: info@mayasmondzorg.nl.
Wordt mijn composiet facing vergoed?
De tarieven voor facings worden jaarlijks landelijk vastgesteld door de Nederlandse Zorgautoriteit (NZa). Composiet facings worden niet vergoed.
Hoelang gaan composiet facings mee?
Een facing gaat ongeveer vijf tot acht jaar mee, maar dit is ook erg afhankelijk van de manier waarop men er mee omgaat. Zo kan hij beschadigd raken door tandenknarsen of het gebruik van de voortanden als gereedschap. Een beschadigde facing kan altijd worden gerepareerd of worden vervangen. Door deze behandeling wordt de tand zelf niet beschadigd.
Doet het plaatsen van composiet facings pijn?
Het plaatsen van composiet facings is een eenvoudige en snelle behandeling die doorgaans geen pijn doet. De tandarts slijpt weinig tot geen tandweefsel weg van de tand. In sommige situaties is het nodig om eerst een reparatie aan de tand uit te laten voeren. In dat geval is het altijd mogelijk om een plaatselijke verdoving te krijgen.
Profiteer van onze unieke Composiet Facings actie
6 Facings van €900,- voor slechts €825,- excl. BTW.
Mail nu voor een Afspraak naar: Info@mayasmondzorg.nl
De behandeling in stappen voor een composiet facing
1. Kiezen van de kleur
2. Opruwen van de tand
3. Vastplakken van de facing








4. In vorm brengen van de facing.
In overleg wordt met u de juiste kleur van uw facing gekozen. Er zijn verschillende kleuren van een natuurlijke lichtgele kleur tot spierwit, er zijn ook combinaties mogelijk.
Als het nodig is, worden oude slechte restauraties vervangen en wordt het tandoppervlak iets opgeruwd. Zo hecht de composiet beter aan het oppervlak. De tanden worden met composiet facings iets dikker. De tanden worden niet afgeslepen!
De tanden worden eerst voorbehandeld voordat de composiet op uw tand wordt geplakt. De tand wordt behandeld met een zuur(ets), daarna wordt er een hechtlaag aangebracht(bonding). Op deze laag wordt de zachte composiet aangebracht. Nadat de composiet op de tand is gemodelleerd, wordt deze hard gemaakt met een uv lamp.
Als de composiet op de tanden is aangebracht dan is deze nog ruw. De harde composiet moet nog in vorm gebracht worden en wordt in vorm geslepen. Daarna worden alle randjes van het tandvlees vrij gemaakt van lijmresten en composiet, de tussenruimten worden open gemaakt zodat er met een rager, stoker of flossdraad gereinigd kan worden. Tenslotte wordt het geheel op hoogglans gepolijst. De facing is klaar.
Wij zijn telefonisch bereikbaar op maandag, dinsdag, woensdag, donderdag en om de zaterdag.
Van 09.00 tot 15.00 uur. Spreek de voicemail in.
Contact via WhatsApp en email is sneller en wordt de hele week bekeken en beantwoord.
Maya's Mondzorg
Laan van Meerdervoort 420
2563 BD Den Haag
+31 (0)70 4448559
+31(0)645168777 ook WhatsApp
info@mayasmondzorg.nl
www.mayasmondzorg.nl
Wij gaan zorgvuldig en discreet om met uw
persoonlijke gegevens.
TELEFONISCHE BEREIKBAARHEID
CONTACTGEGEVENS
PRIVACYVERKLARING
Lees hier onze privacyverklaring.
ALGEMENE VOORWAARDEN
Volg onze sociale kanalen voor nieuwe trends!
Volg onze socials!
